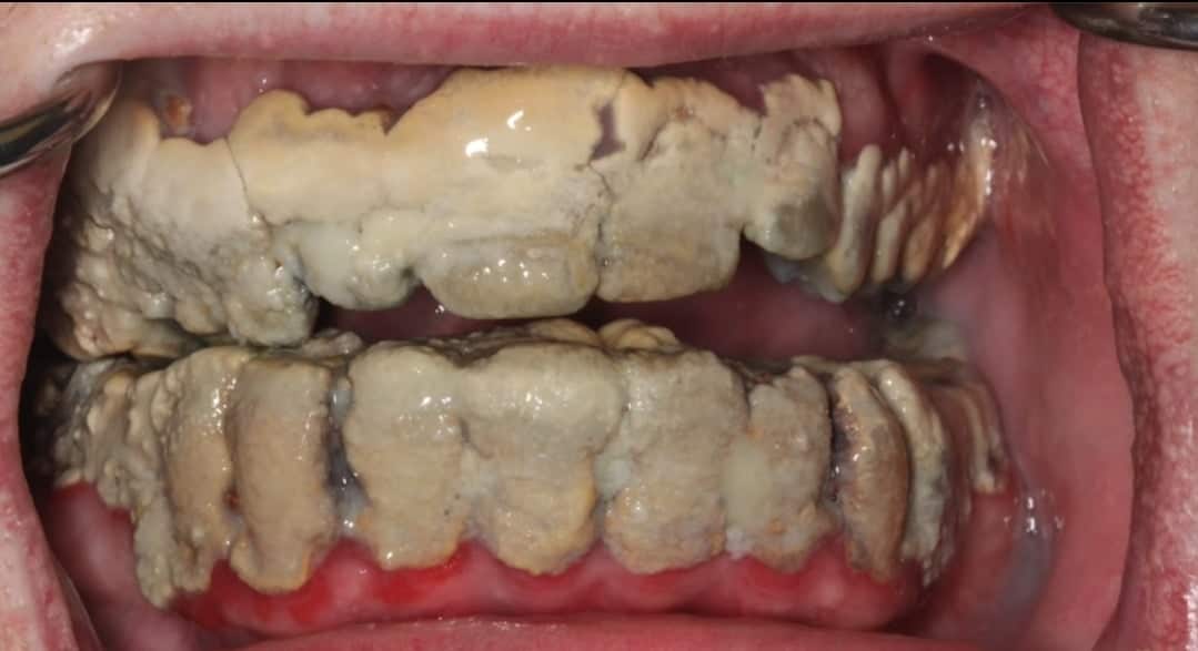
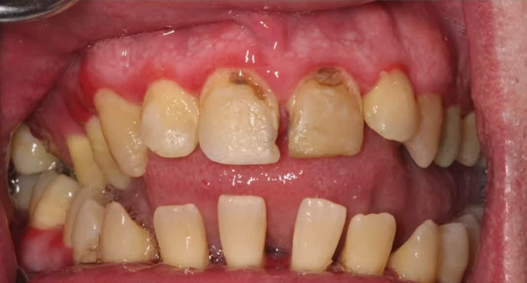
【閲覧注意】20年歯磨いてない俺が歯医者行った結果wwwww(画像あり)

gif_animation 有名な画像? 20年歯磨いてない俺が歯医者行った結果wwwww ビフォーアフター。その汚さ、治療後 歯はこうなっていた・・・など違いがよく分かる3枚。

1.


2.


3.



ポッカキットのXでもオリジナル動画を毎日公開中!( @po_kaki_to_x