【閲覧注意】学校で「顔面チ●コ」と呼ばれいじめられてる男子中学生の顔が…(画像)

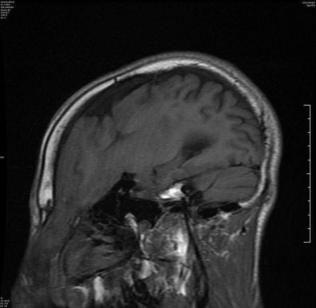
gif_animation インドにて、学校で「顔面に性器が付いてるようだ」といじめられてる13歳の少年の顔。”頭蓋脳ヘルニア” という病気により鼻上が飛び出し、下に垂れ下がっている。レントゲン画像+11時間にも及ぶ手術の結果、無事腫瘍を取り除いた少年の画像。

1.


2.


3.


4.


5.



ポッカキットのXでもオリジナル動画を毎日公開中!( @po_kaki_to_x