【閲覧注意】タピオカ、ヤバい食べ物だった・・・・・

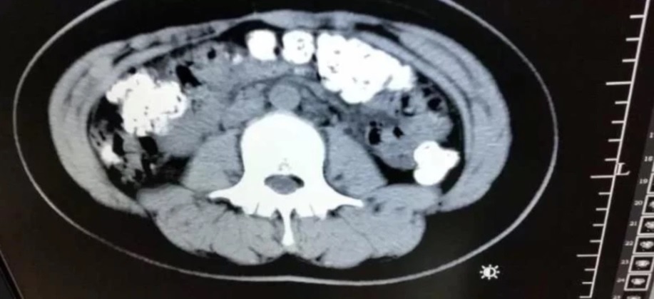
gif_animation 国内でも話題になっていますが、当サイトでも一応紹介。中国にて、腹痛・便秘を訴え病院を訪れた14歳の少女。その腹部をCTスキャンで撮影した所、胃や腸の中に100個以上の消化されていないタピオカが残されていたとの事。原因はタピオカに含まれる防腐剤などの添加物が胃腸障害を引き起こしたため。これは怖い。[3]images

1.



※ 14歳の少女、CTスキャン

2.


3.



ポッカキットのXでもオリジナル動画を毎日公開中!( @po_kaki_to_x