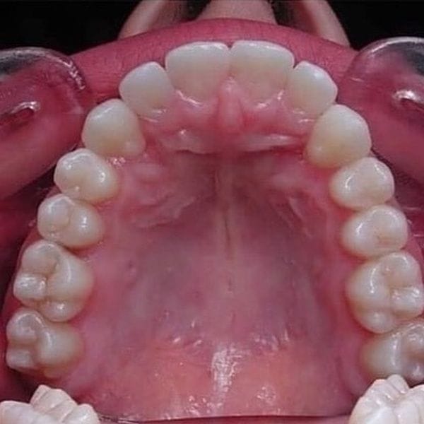
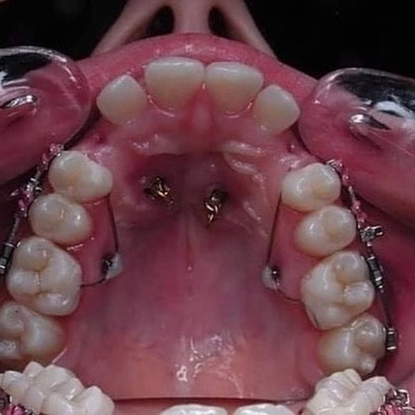
【驚愕】歯の矯正、「このレベルの歯」を元通りに矯正してしまう…(画像あり)

歯の矯正の凄すぎる1例。犬歯が内側の歯茎に埋まっていた歯並びの患者を、元通りに矯正していく…。海外サイトで公開され話題のビフォーアフター。[11]images

1.


2.


3.


4.


5.


6.


7.


8.


9.


10.


11.



ポッカキットのXでもオリジナル動画を毎日公開中!( @po_kaki_to_x