【閲覧注意】致死率ほぼ100%の「脳食いアメーバ」に侵食された人間はこうなるらしい…(画像あり)

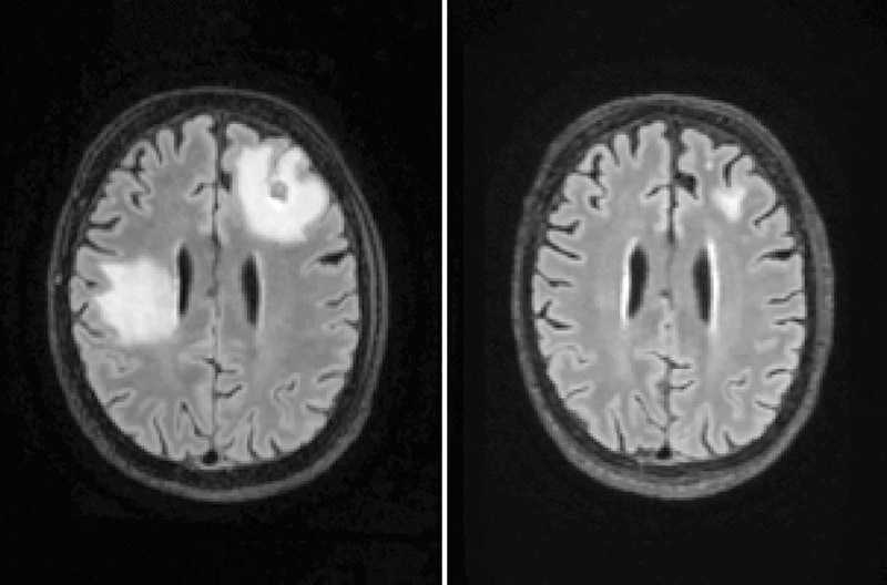
gif_animation アメリカではニュースで報道される事も多いという「脳食いアメーバ」こと「ネグレリア・フォーレリ」に感染した人々の画像や脳画像のまとめギャラリー。このアメーバが一次性アメーバ性髄膜脳炎(PAM)を引き起こした場合、致死率はほぼ100%だと言われている。感染経路は世界中に温かい淡水で、身近な所では「水道水で鼻洗浄」をした女性が亡くなった事例などがある。[13]images

1.


2.


3.


4.


5.


6.


7.


8.


9.


10.


11.


12.


13.



ポッカキットのXでもオリジナル動画を毎日公開中!( @po_kaki_to_x